CASE REPORT
CASE REPORT
This case report is intended to show a successful treatment of anterior open bite with correction on both function and aesthetics, using clear aligners.
Dr. Cristina Stoecker*, Germany
Dr. Cristina Stoecker earned her dental degree in Bucharest (Romania) and obtained the license in Germany as well. She received her speciality in orthodontics in Krems, Austria. Later she also became a specialist in holistic orthodontics and aligner treatment. Since 2016 dr. Cristina has been working in a group practice alongside Dr. Axel von der Bruggen (MSc.). She is also a member of various professional societies.

The 24-year-old female patient presented to the orthodontic practice after being referred by her general dentist. Her primary concern was the improvement of the masticatory function. The patient had previous orthodontic treatment with fixed appliances and had both upper and lower lingual retainers.
The extraoral analysis revealed a straight profile with a slightly enlarged nasolabial angle, potentially lip incompetence and a dolichofacial pattern.
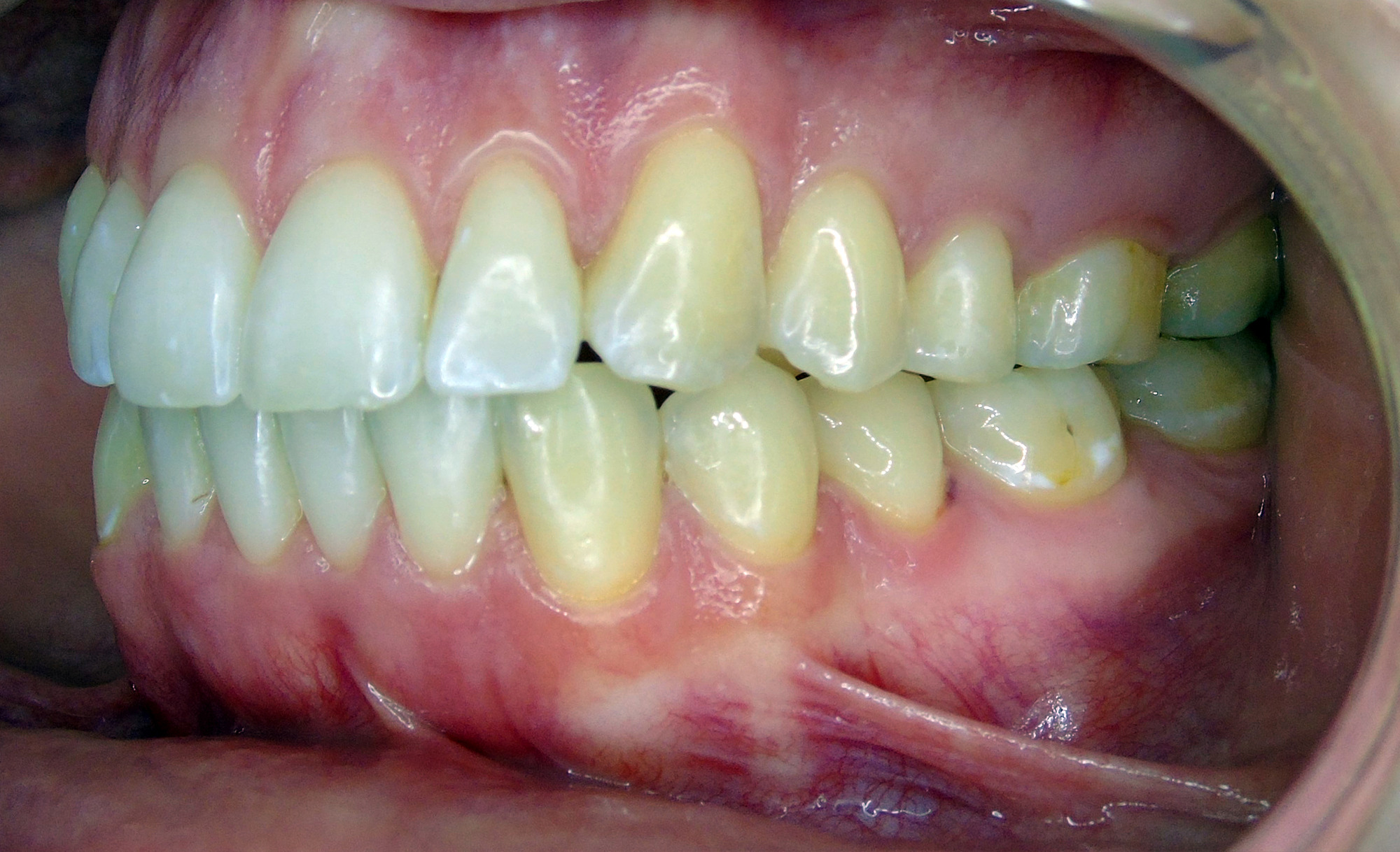
Intraoral evaluation disclosed an Angle class I on both sides, with an anterior open bite (-2.5mm), bialveolar protrusion and mild anterior crowding. Transversally, a narrow upper jaw has been observed. Furthermore, a persistent visceral swallowing pattern and misalignment of the midlines were found.
Given the tongue dysfunction, the patient was prescribed logopaedic therapy due to the present myofunctional disorder, in order to prevent orthodontic relapse.
The patient was also informed about the possible therapy options of combined orthognathic surgery with orthodontic appliances or fixed appliances alone, which she rejected. She also declined the option of extracting four premolars. Therefore, the aligner therapy option remained.
For this purpose, the Approver 3D© software was used, which can simulate not only the movement of the crown, but also the movement of the roots.
20 aligners were planned, along with IPR on lower anterior teeth, of 0.3 mm each. In the upper arch, IPR was avoided by having a slight expansion in the premolar region.
Extrusion of the upper anterior teeth was planned: maximum 2.3 mm in the upper arch and 1.4 mm in the lower arch, using attachments.
All attachments were placed during the patient’s first visit, whilst the IPR was carried out during the follow-up appointment at aligner number three.
As can be seen in the images, the planned vertical correction was fully achieved. It has been noticed that Spark™ Clear Aligners have also helped with the patient’s visceral swallowing pattern, by shielding the tongue which then can no longer (unconsciously) rest between the teeth.
The patient was compliant, and the attachments could be removed after four and a half months, as planned. The patient had a total of four appointments and refinements were not necessary. Added to this, no attachments were required on the molars and no elastics were necessary.
Due to the latent tongue dysfunction, the retention of the treatment was completed with both fixed and removable retainers on upper and lower arches, to ensure the final result of the treatment. Six months after the treatment, the result is still stable.
Today’s patients desire aesthetic options for their therapy and a shorter treatment time than traditional orthodontics was able to offer in the past. Good aesthetical and functional results can be achieved with clear aligners. A motivated and compliant patient is a prerequisite for this therapeutic approach.
We have found in our clinic that the Spark Clear Aligner system gives us an attractive and efficient alternative for our aesthetic treatments, thanks to the predictable outcomes, with a smaller number of aligners than we have seen with other systems in everyday clinical practice.

* Dr. Cristina Stoecker is a paid consultant for Ormco. The opinions expressed are those of Dr. Cristina Stoecker. Ormco is a medical device manufacturer and does not dispense medical advice. Clinicians should use their own professional judgment intreating their patients.