CASE REPORT
CASE REPORT
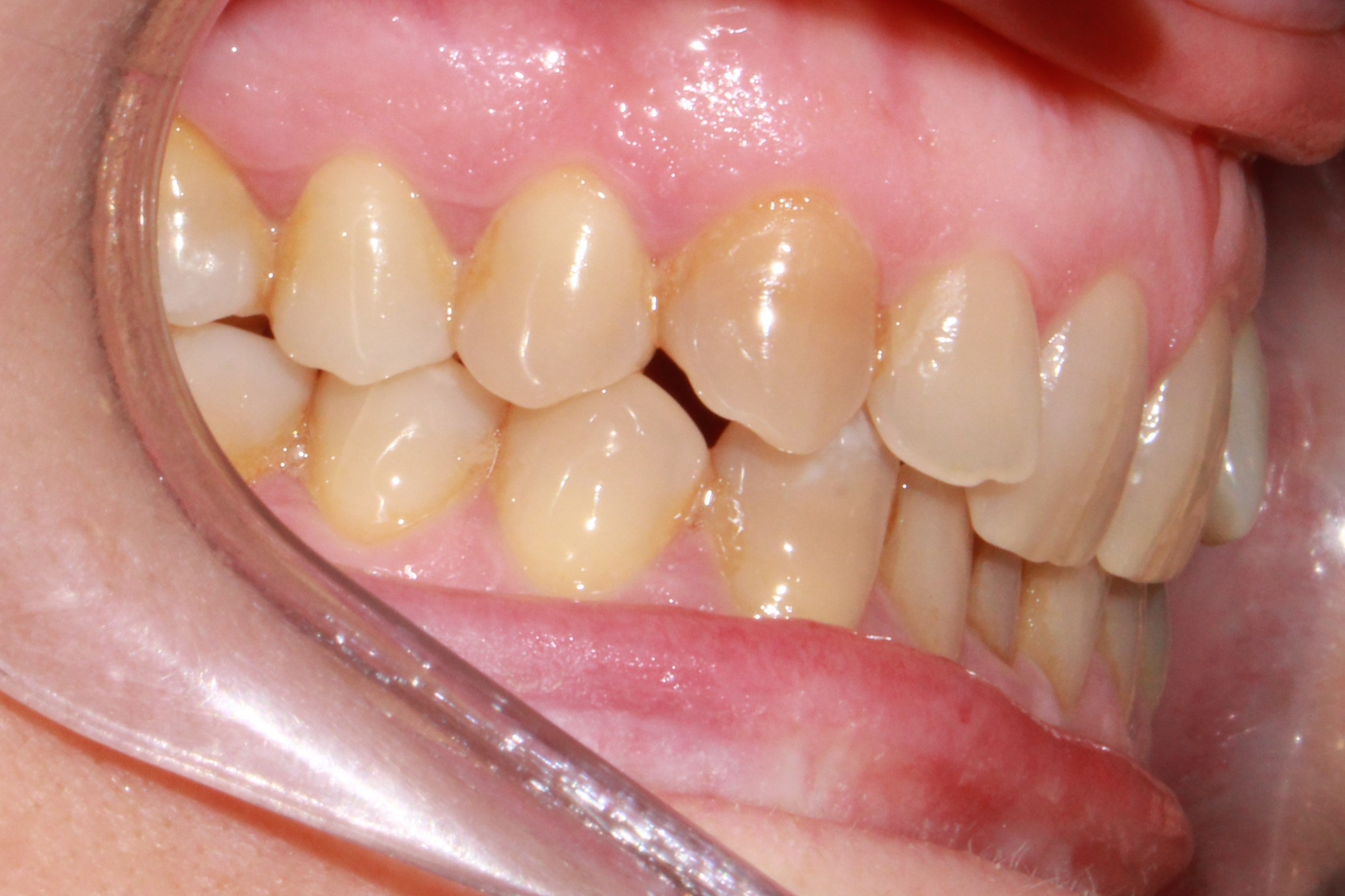
This article describes a treatment with spark aligners performed in a 52-year-old patient, who presented at the time of consultation with an increased overbite, moderate crowding in both arches, gingival smile and a clear alteration in the color of the enamel due to environmental factors.
Dr. Ignacio Arias Ambel*, Spain
Leading with his passion for orthodontics and aesthetics, demanding the best at every turn for his patients Dr. Ignacio Arias Ambel has been involved and curious about the new technologies and advances in orthodontics for 10 years exclusively. He directs his orthodontic practice toward efficiency, the simplification of the treatment and the reduction of treatment times.
The protocol applied for the present treatment plan was based on the transversal development of the arches at the expense of expansion at the expense of correction of posterior and anterior torques in the following way:
BiteRamps were added on upper teeth 2-2 to assist the programmed intrusion movement of both anterior sectors (upper and lower). A Spark20 treatment plan was chosen using all active aligners and TruGen material and aligner replacement every 7 days.
At the end of the primary treatment plan the patient returns to the office and we can see that, although the vertical plan has been favored thanks to the planned movements, the midlines are centered, and the crowding has improved notably and with it the periodontal status of the patient.
One of the Aligners Therapy‘s perks to success is having the chance to re-evaluate the case after each phase, understand the compliance of the patient, learn what was achieved and what can be improved to deliver the best functional and aesthetic outcome to the life of the patient.
In fact, when the torque correction of posterior sectors was expressed, some palatal cusps descended more than desired, which generated a scarce lateral perspective of stable occlusion, for which the refinement was planned in the following way:
After 8 months of the primary treatment plan and the refinement, it was possible to observe a fulfillment of the objectives demanded by the patient and clinically marked at the time of the initial diagnosis.
* Dr. Ignacio Arias Ambel is a paid consultant for Ormco. The opinions expressed are those of Dr. Ignacio Arias Ambel. Ormco is a medical device manufacturer and does not dispense medical advice. Clinicians should use their own professional judgment intreating their patients.