CASE REPORT
CASE REPORT
Orthodontic treatment in adult patients who have completed periodontal therapy presents specific challenges. Recent clinical strategies advocate for a slower treatment approach—with reduced force levels and extended phases—to ensure occlusal stability and maintain tissue health. This case report details the management of a patient with lower crowding and an anterior crossbite after a successful periodontal treatment phase, using a moderated treatment velocity to achieve stable, favorable outcomes.
Dr. João Pato*, Portugal
Dr. João Pato (Portugal) graduated from the Faculty of Medicine of the University of Coimbra, where he completed his postgraduate degree in Orthodontics. He extended his studies with a postgraduate degree in Lingual Orthodontics from the Complutense University of Madrid. He is a Spark Clear Aligners™ key expert and is regularly involved in national and international courses on digital orthodontics.

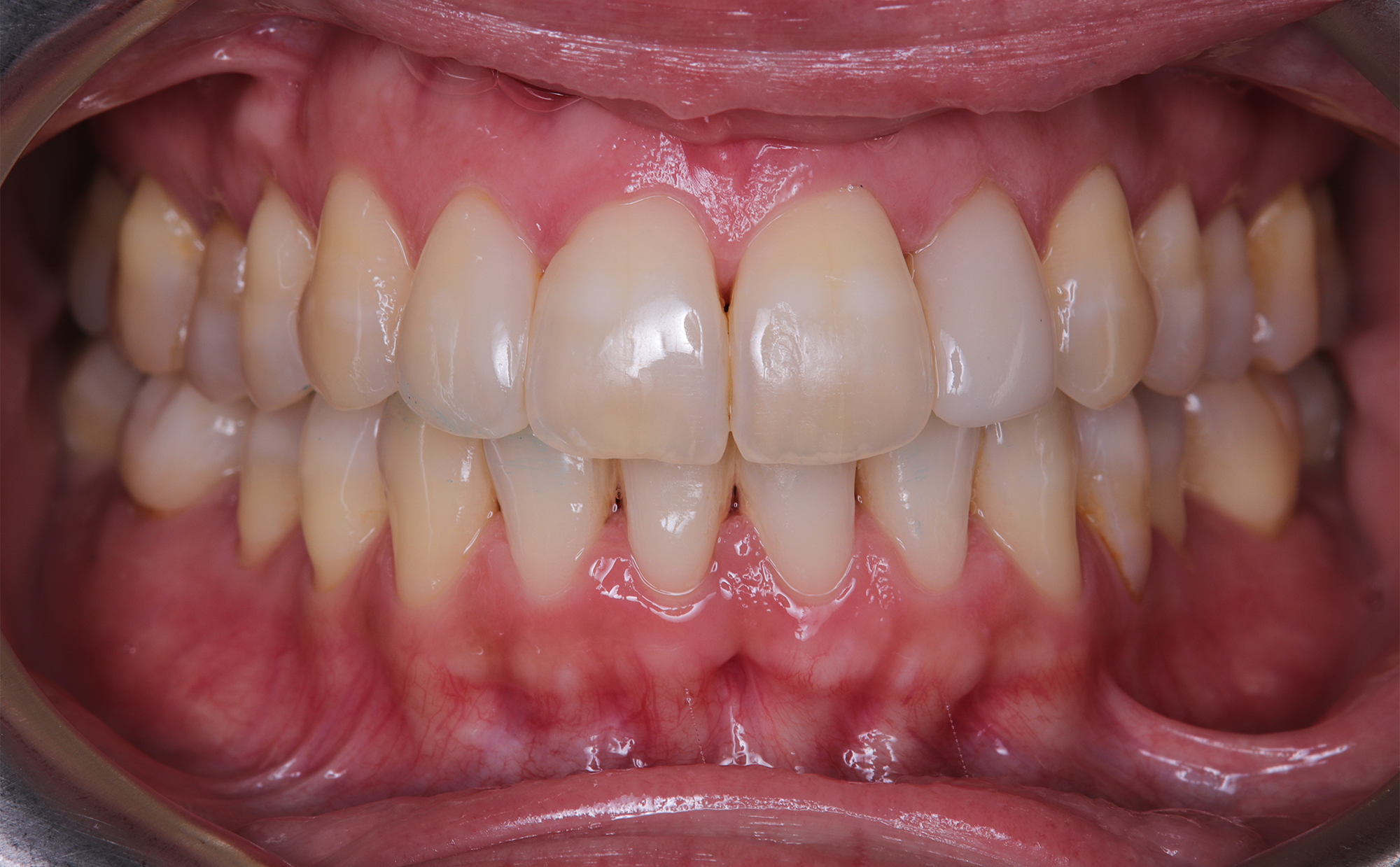
The patient, having completed a periodontal treatment phase, presented with significant aesthetic and functional concerns due to moderate crowding in both arches and a pronounced anterior crossbite. Clinical examination confirmed the need for comprehensive realignment, particularly in the anterior region. Although the patient had a history of periodontal issues, radiographic evaluation showed no signs of active disease. Based on these findings, the treatment plan was designed to carefully modulate orthodontic forces to protect the occlusion and surrounding tissues while addressing the misalignment.
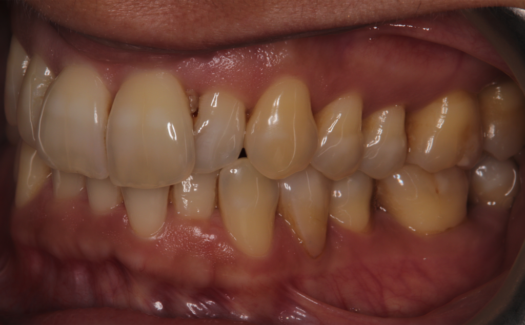
To correct the misalignment and anterior crossbite without compromising tissue stability, a slower orthodontic treatment plan was devised using the Spark Advanced clear aligner system. The initial phase involved 36 aligners designed to gently expand and realign the dental arches, limiting the rate of tooth movement. Strategic interproximal reduction (IPR) was performed in the anterosuperior region (between teeth #21 and #11) to create the necessary space for proper alignment while avoiding excessive loading on the tissues.
To refine the results and enhance aesthetics, a second phase incorporating an additional 17 aligners was introduced. During this refinement stage, careful IPR in the lower arch helped harmonize the midline and achieve a balanced occlusion. Once satisfactory alignment was reached, provisional composite restorations were placed on the upper lateral incisors to aesthetically close any interproximal gaps.
A crucial aspect of the treatment was reducing the speed of tooth movement by 50%. This approach allowed a gradual application of orthodontic forces, giving the occlusion and tissues ample time to stabilize following the periodontal phase while effectively addressing the crowding and anterior crossbite.
At the conclusion of the treatment, the patient achieved excellent dental alignment and a stable occlusal relationship, particularly in the anterior region. Radiographs and clinical assessments confirmed that there was no further bone loss and that previous improvements were maintained. The aesthetic enhancement from the composite restorations further contributed to the overall success of the treatment.
This case report demonstrates that in patients with a history of periodontal treatment, a carefully modulated orthodontic plan—characterized by reduced tooth movement speed and light forces—can successfully address issues of crowding and anterior crossbite while stabilizing the occlusion and supporting tissues. The favorable outcome achieved with the Spark Advanced system, along with strategic IPR and restorative composite application, supports the adoption of conservative orthodontic protocols focused on occlusal and tissue stability.
* Dr. João Pato is a paid consultant for Ormco. The opinions expressed are those of Dr. João Pato. Ormco is a medical device manufacturer and does not dispense medical advice. Clinicians should use their own professional judgment intreating their patients.