CASE REPORT
CASE REPORT
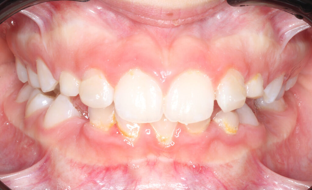
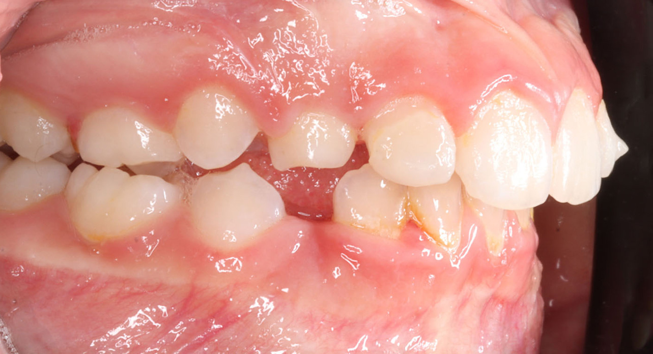
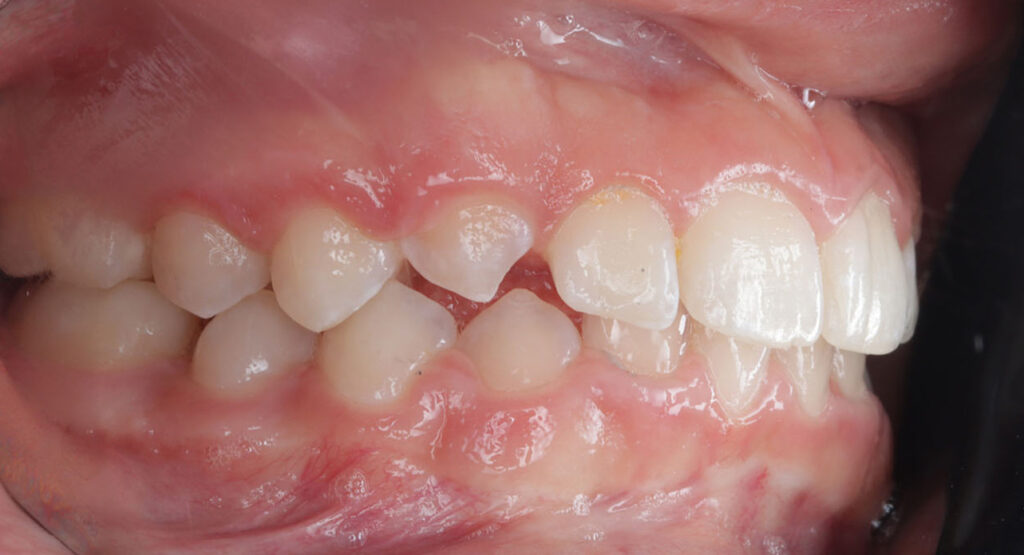
Case report of a 9-year-old female patient in the intermediate phase of mixed dentition. The patient presents with moderate upper and lower crowding, narrow arches, Class II molar relationship on the right side, premature loss of tooth 83, deviation of the lower midline to the right, deep bite, and a crossbite on the right side affecting only the deciduous dentition.
Dra Elena Cerviño* Portugal
Dra Elena Cerviño earned her dental degree from the Santa Maria University in Caracas, Venezuela and her International Program degree in Orthodontics and Orthopedics from New York University Dental School. After her studies, she completed a Master of Integrante Dental Medicine in the University of Lisbon, Portugal. She is established in her own private practice at Lisbon and has treated more than 1,000 patients with clear aligners. Since 2018 she is a speaker for Spark™ Clear Aligners.

The goal of the treatment was to achieve transverse development of both arches, proclination of upper and lower incisors to correct the deep bite, and to create space for the blocked tooth.
The first aligner set was designed for the development of the upper arch and to create overjet. No aligners were planned for the lower arch to ensure overjet and to facilitate the adaptation process for a 9-year-old patient. If planned today, I would have requested both upper and lower aligners.
After 3 months of using upper aligners, a refinement was requested to begin treatment with aligners on both arches.
In the upper arch, the mechanics aimed to continue expansion of the first molars (6’s), while in the lower arch, the focus was on proclination of the lower incisors with lingual root torque. Simultaneously, the lower incisors were inclined towards the left side to correct the midline deviation.
Class II elastics were programmed, using hooks on the upper deciduous canines and Integrated hooks (IH) on the lower molars. The elastics were prescribed for 24-hour daily use, with a force of 3/16″ 4 oz. A virtual Class II elastic jump was requested from the technician.
It was critically important to plan for eruption compensators and retentive attachments to support the use of elastics effectively.
After completing the 14 aligners, records were taken for new aligners.
Proclination and intrusion of the upper incisors with palatal root torque, as well as proclination of the lower incisors with lingual root torque, were programmed to create overjet and allow for further mandibular advancement. The use of elastics was not necessary. Eruption compensators were planned.
MKT-25-0096
* Dra Elena Cerviño is a paid consultant for Ormco. The opinions expressed are those of Dra Elena Cerviño. Ormco is a medical device manufacturer and does not dispense medical advice. Clinicians should use their own professional judgment intreating their patients.