CASE REPORT
CASE REPORT
This case report shows the successful use of torque teaming with Damon Ultima brackets in a class II patient.
Meet Dr. Markel Telletxea Iraola*, a skilled orthodontist who graduated as a dentist in 2018 and then subsequently completed a Master’s in Orthodontics and Dentofacial Orthopedics in 2021, both at Alfonso X El Sabio University in Madrid, Spain. In 2021, he became an Associate professor of European Master of Orthodontics at his alma mater and an affiliate of the Spanish Orthodontic Society (SEDO). Since 2022, he has been practising orthodontics at his practice, LIDERA Hortz klinika – estudio dental, by Markel Telletxea in Lesaka, Navarre.

The 17-year-old female patient, who had previously undergone an orthodontic treatment 4 years ago, came to the dental clinic in May 2022. She was concerned about her upper right lateral incisor tipping, which was worsening over time, making her feel uncomfortable while smiling.
The extraoral examination revealed isometric contraction of the left side muscles, mild canted maxillary occlusal plane, facial and upper midlines centered and hypodivergent facial pattern.
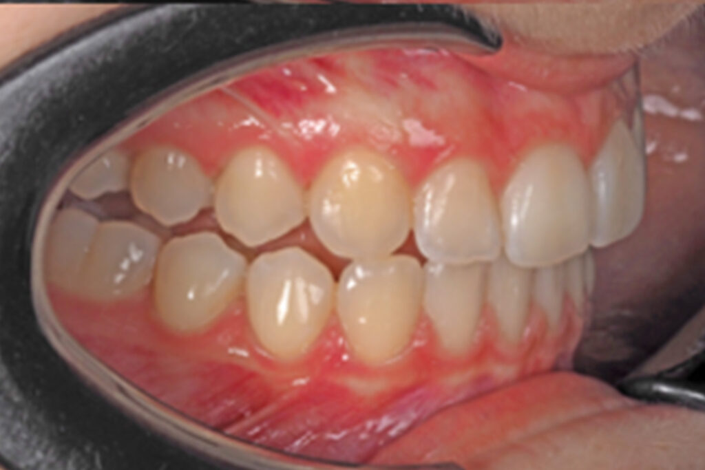
During intraoral examination the patient was found to have:

Cephalometric analysis confirmed skeletal class I with meso-brachycephalic growth pattern, reducedmandibular plane, normoclined upper incisor and slightly retroclined lower incisor, increased interincisalangle and a correct occlusal plane

Pano reposition visit:
While 6 weeks with 18×275 CuNiTi upper and lower archwire, a panoramic reposition visit wasplanned, and LL1 was replaced for second-order correction. The LL8 was extracted at this momentdue to patient´s discomfort as the others were planned to be extracted after bracket debonding.

In view of the clinical and cephalometric data, nowadays, Dr. Iraola would rather use procline bracketsin lower incisions as well as in the UL2 for better vertical control of deep bite.
In spite of the mesial movement of the lower arch for class II correction during the treatment, the lowerincisors did not show any secondary proinclination as it was supposed. Therefore, additional overdrivewire would be also an option for extra torque expression.




March 2023




May 2023




Final records – March 2023



Initial records – May 2022
MKT-23-1442-ENG
* Dr. Markel Telletxea Iraola is a paid consultant for Ormco. The opinions expressed are those of Dr. Markel Telletxea Iraola. Ormco is a medical device manufacturer and does not dispense medical advice. Clinicians should use their own professional judgment intreating their patients.